Féline-Orthopédique : Un cas d'hypothyroidisme congenital chez un chat

Historique: Châton femelle british shortair de 8 semaines.

Anamnèse: La propriétaire est inquiète car le châton est le plus petit de la portée et présente un retard de croissance marqué par rapport à ces congénères. A part cela le chat ne présente pas d'autres problèmes.

Auscultation: Châton calme, rythme cardiaque 200, rythme respiratoire 36, muqueuses roses, CRT<2s. Le chat présente un nanisme légèrement disproportionné, les membres étant courts par rapport au tronc.

Examen sanguin: il révèle une légère anémie, une légère hypercalcémie et une quantité sérique totale de T4 de 2 microgrammes/dL/.
Examens complémentaires: Une échographie abdominale révèle une très faible quantité de liquide abdominal, des reins qui sont subjectivement petits, avec une démarcation entre le cortex et la médulla floue.
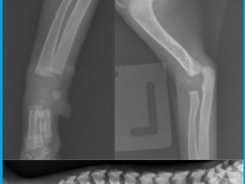
Des radiographies du squelette révèlent un retard d'ossification des épiphyses de manière symétrique et généralisée. Les os du carpe sont absents.

Conclusion:
- Dysgénésie épiphysaire généralisée, associée à un retard de croissance, une légère anémie et une T4 basse: ceci est compatible avec une hypothyroïdie congénitale.
Chez le châton normal, la TT4 est 2 à 3 fois supérieure aux adultes.
Une radiographie d'un châton de la portée et du même âge a été prise en comparaison. Cf la deuxième radio.

Discussion: Des anomalies du squelette, comme un retard de maturation et une dysgénésie épiphysaire sont caractéristiques d'une hypothyroïdie congénitale, plus tard les animaux ressemblent à des nains disproportionnés.

Un retard de maturation épiphysaire est observée dans les
corps vertébraux et les os longs des chatons, accompagné d'un retard de maturation des os du carpe et du tarse. La dysgénésie épiphysaire se caractérise par un délai d'apparition des foyers d'ossifications épiphysaires, et en absence de supplémentation, les épiphyses apparaissent fragmentées avec des foyers de minéralisation dispersés. Normalement, les épiphyses se développe d'un centre unique. Plus tard, cette malformation hypophysaire conduit à des arthropathies dégénératives.

L'hypothyroïdie congénitale peut être causée par une aplasie ou une hypoplasie de la glande thyroïde, une ectopie thyroïdienne, une
dyshormonogenese, ingestion goitrogène maternelle ( ou un traitement à l'iode radioactif), la carence en iode (goître), la thyroïdite auto-immune, l'hypopituitarisme.La plupart des cas d'hypothyroïdie féline chez les chatons
ont été le résultat de dysgenese de la glande, et une famille de chats abyssins a été diagnostiquée avec une dyshormonogenese familiale.




biblio: https://secure.vlsstore.com/ME2/Audiences/dirmod.asp?sid=&nm;=&type=Publishing&mod=Publications::Article&mid=8F3A7027421841978F18BE895F87F791&AudID=BE924B06C44442DE9033CA13B621B284&tier=4&id=1F5B3CD4001544D79C4293DAA65B03E5