Féline-Thorax : A case of pericardial effusion in a cat

British shorthair, male 2 years
Tachypnea/dyspnea since 2 months, apathic
Pancytopenia
FIV/FelV positive


Clinical Exam:
Tachycardia 200 bpm, muffled heart sounds
Abdominal distention probably fluid
apathic
Pale muquous membranes
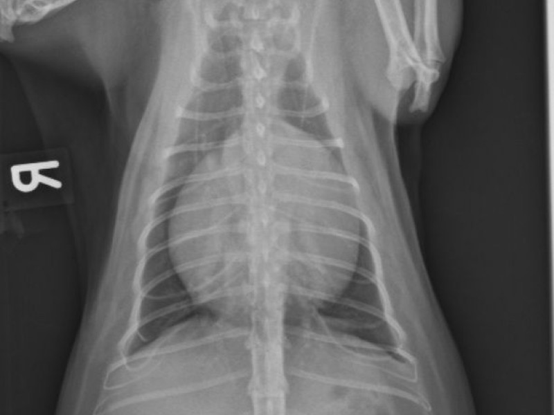
There is a severe globoid enlargement of the cardiac silhouette (more than 2,5 IC spaces), a mild distention of the caudal vena cava (wider than 1,5 times the aorta).
The liver is increased in size, extending caudally to the rib cage and shows rounded edges.
Normal appearing lungs, no congestion of the pulmonary vasculature.

Différential diagnostic:

- Péricardial effusion compatible with the globoid cardiomegaly and the caudal vean cava and liver congestion

- Dilated cardiomyopathy: rarely diagnosed in cats nowadays. It was linked to a deficiency in taurine but the food is now complemented.

- Burn out hypertrophic or restrictive cardiomyopathy but no signs of pulmonary congestion are detected, so this is less likely.

Complementary exam:
Echocardiography, with aspiration of the liquid.

The main causes of pericardial effusion in cats are right heart failure, FIP and lymphoma. In this immunossupressed cat both FIP and lymphoma are possible differentials.