Canine-Thorax : A case of gastro-oesophageal intussusception in a young dog

Irish Setter dog, aged of 18 months, presented for acute hematemesis. The patient is tachypneic, cachectic et presents a delayed capillary recoloration time.
Chest radiographs: left lateral and ventrodorsal.
Presence of a very large ovoid mass within the dorsal part of the caudal mediastinum and of general gas dilation of the esophagus (tracheal stripe sign).
Moreover the gastric bulla is not recognized in the cranial abdomen.
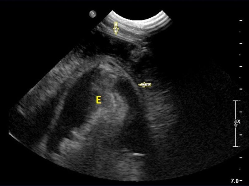
This is a gastroesophageal intussusception!
A thoracic ultrasound was performed and allowed the visualization of an intestinal structure within another intestinal structure thanks to the recognition of the 5 layers (arrow). The stomach is depicted by the letter "E".