Canine-Neurologie : A case of atlanto-axial instability in a small dog

History: male Yorkshire terrier, 7 yo. Presented for acute ataxia since 4days progressing to tetraparesis. No improvement with symptomatic treatment with steroïds.

Clinical exam: Dog poorly ambulatory. Decreased proprioception on the 4 legs, deep pain sensation conserved. Lesion type MNC on the 4legs.

A cervical lesion is suspected and cervical radiographs taken.

Do you see abnormalities? Can these abnormalities explain the clinical signs?
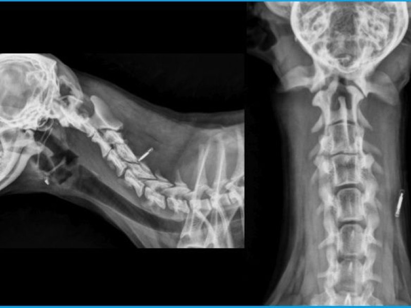
There is a marked increase in space between the dorsal lamina of C2 and the dorsal neural arch of C1. On the VD view, the dens of the axis is hypoplastic. The facet joints between C1 and C2 are enlarged and uneven. There are step defects visible along both joint margins with a loss of alignment. The intervertebral disc space between C2 and C3 is reduced compared to adjacent spaces.

Assumptions: Atlanto-axial subluxation and suspected herniated disc C2C3.
Both lesions may explain the clinical signs.

A CT scan revealed a cervical atlanto-axial subluxation and hypoplasia of the dens of the axis. A slight disc protrusion has been demonstrated in C2C3.
Hypoplasia of the dens of the axis is due to a congenital malformation and predisposes to an atlanto-axial subluxation. The small breeds and toy breeds are predisposed (chihuahua..). Atlanto-axial subluxation may be present despite the presence of the dens of the axis. In this cases, a traumatic rupture of the ligaments stabilizing the dens is more likely. A fracture of the dens is also possible.
Surgical stabilization of C1 and C2 by nailing was performed.
Here under normal radiographs of another yorkshire. Note the decreased space between C1 and C2 and the well developped dens.